Nanobot als Medizintransporter im Körper

Wissenschaftlern des California Institute of Technology (Caltech) in Pasadena ist es gelungen, Nanopartikel herzustellen, die Arzneimittel an einem Krankheitsherd abliefern. Damit sei es möglich, Krebs zielgenau zu behandeln, schreiben die Onkologen um Mark Davis in der aktuellen Ausgabe der britischen Fachzeitschrift Nature(öffnet im neuen Fenster) .
BotenRNA blockiert
Als Behandlungsmethode gegen den Krebs nutzen die Forscher RNA-Interferenz (RNAi), bei der ein spezielles Gen der Krebszelle ausgeschaltet wird. Dabei wird sogenannte Small interfering RNA (siRNA) in eine Krebszelle eingebracht. Diese blockiert die BotenRNA (messenger RNA, mRNA ), die für die Bildung eines wichtigen Krebsproteins zuständig ist.


Die RNA-Interferenz, für deren Entdeckung Andrew Fire und Craig Mello 2006 den Nobelpreis für Physiologie oder Medizin Prize erhielten, gilt als vielversprechende Behandlungsmethode gegen Krebs. Das Problem ist bisher jedoch, die siRNA an die richtige Stelle zu transportieren.
Nanotransporter aus Polymer
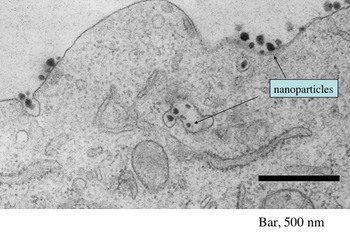
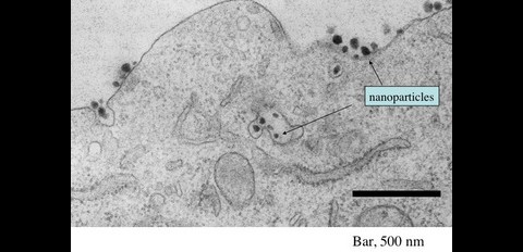
Hier scheint das Team von Davis jetzt einen Weg gefunden zu haben: Ein 70 Nanometer großer Transporter, der in eine Blutbahn injiziert wird, bringt die siRNA zu der Krebszelle. Er besteht aus zwei verschiedenen Polymeren und hat die Form einer Hohlkugel, in deren Inneren sich die siRNA befindet. Außen ist der Nanopartikel mit einem Protein umhüllt, das es dem Nanotransporter ermöglicht, sich an einer Krebszelle anzulagern. Diese lässt die Nanokugel ein, die im Inneren der Krebszelle zerfällt und ihre Fracht freigibt.
In ersten klinischen Tests an wenigen Patienten konnten die Wissenschaftler die Nanopartikel in den Krebszellen nachweisen. Die Zahl der Nanopartikel in den Krebszellen korrelierte dabei mit der verabreichten Dosis. In den Zellen hatte die siRNA wie gewünscht die mRNA zerlegt. "Wir haben zumindest bewiesen, dass das RNAi-Verfahren in der Therapie bei Patienten angewandt und dass die zielgerichtete Auslieferung von siRNA für die systemische Verabreichung in Betracht gezogen werden kann" , kommentierte Davis. Die Resultate der Tests wollen die Wissenschaftler im Sommer auf einer Konferenz vorstellen.